
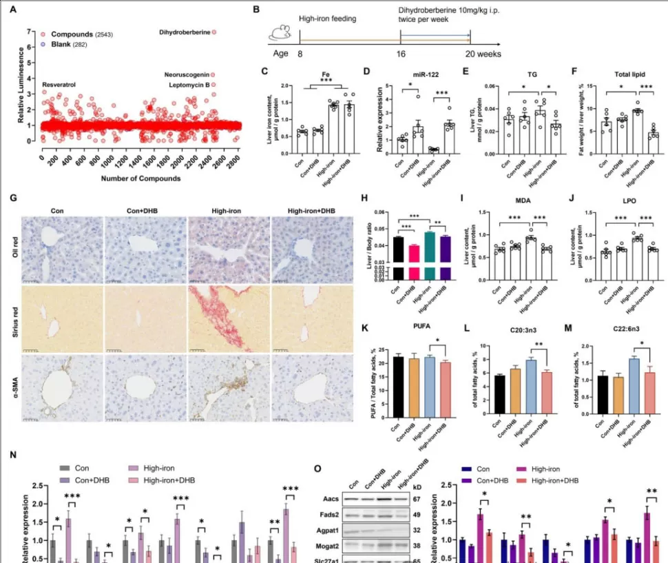
Resumo: Em um estudo de alta qualidade publicado em maio de 2025, uma equipe de pesquisa do Departamento de Nutrição da Universidade Médica Naval do Exército de Libertação do Povo projetou um novo "sistema de triagem"-usando um modelo repórter de luciferase para "monitorar" a atividade de miR-122, semelhante a instalar uma "luz de sinal" para miR-122. Quando um composto aumenta a atividade miR-122, a "luz de sinal" se ilumina. Posteriormente, eles realizaram uma triagem de alto rendimento em grande escala de 2.543 compostos naturais, procurando efetivamente os "parceiros ideais" para miR-122.
Após uma triagem rigorosa, a diidroberberina emergiu como a candidata de destaque entre 2.543 compostos naturais: ela não apenas regula significativamente os níveis de miR-122, mas também não exibe toxicidade celular-demonstrando eficácia e segurança.
Em um modelo de camundongo induzido por dieta rica em ferro de MASLD (Doença hepática esteatótica associada à disfunção metabólica), a diidroberberberina demonstrou efeitos protetores hepáticos notáveis:
Restaura os níveis de miR-122: reverte a redução de miR-122 induzida por sobrecarga de ferro, reativando efetivamente o "regulador" do fígado.
Melhora o metabolismo lipídico: reduz os triglicerídeos hepáticos e o teor de gordura total, levando a um fígado visivelmente "mais limpo" (evidenciado pela coloração Oil Red O).
Previne danos oxidativos: reduz os níveis de marcadores de peroxidação lipídica (por exemplo, MDA, LPO), protegendo as membranas de hepatócitos da degradação.
Mitiga Lesões Hepáticas e Fibrose: diminui significativamente a ALT e a AST (principais marcadores de lesão hepática) e alivia a progressão da fibrose hepática.

Figura D: Regulação miR-122-A sobrecarga de ferro causou um declínio acentuado na expressão de miR-122, enquanto o tratamento com DHB a restaurou a níveis quase normais.
Os números E-H: Melhoria do metabolismo lipídico-triglicerídeos hepáticos induzidos por sobrecarga de ferro e acúmulo total de lipídios, que foram reduzidos após a administração de DHB.
Os números I-J: Mitigação de danos oxidativos-A sobrecarga de ferro aumentou os produtos oxidativos (MDA, LPO, etc.), enquanto o tratamento com DHB diminuiu significativamente esses marcadores.
Os números K-M: Restauração do equilíbrio de ácidos graxos-tratamento DHB reverteu a desregulação induzida por sobrecarga de ferro de ácidos graxos poliinsaturados e restaurou as proporções de ácidos graxos benéficos.
Os números N-O: Regulação de proteínas-A sobrecarga de ferro interrompeu a expressão de proteínas relacionadas à lipogênese, que foi normalizada por intervenção de DHB.
Entre os 2.543 compostos examinados, a diidroberberina (DHB) se destacou não por acaso, mas por demonstrar a regulação positiva miR-122 mais forte e a biocompatibilidade celular perfeita-uma base crítica para a tradução clínica.
A sobrecarga de ferro danifica o fígado através de uma cascata definida:
Sobrecarga de ferro → queda de miR-122 → proteínas lipogênicas desreguladas → acúmulo de lipídios estresse oxidativo → doença hepática exacerbada.
DHB interrompe este ciclo vicioso por:
Suplementação de DHB → recuperação de miR-122 → proteínas lipogênicas suprimidas → deposição de lipídios reduzida mitigou o dano oxidativo → "resfriamento" hepático.
O estudo demonstra conclusivamente que DHB:
Upregula miR-122 para silenciar genes prejudiciais (por exemplo, Aacs, Fads2, CYPs) conduzindo a lipogênese e oxidação
Quebra fundamentalmente o ciclo de feedback "sobrecarga de ferro → disfunção metabólica"
Oferece dupla ação-regulação metabólica e hepatoproteção-para populações que sofrem de sobrecarga de ferro e MASLD
Desde a elucidação de como o ferro e a miR-122 prejudicam sinergicamente o fígado até a identificação de DHB por meio de sc sistemáticoReening, esta pesquisa ilumina um caminho terapêutico promissor para a intervenção MASLD.
Referências:
Yuxiao Tang 1, Zelong Gao et al. Quebrando o sinergismo da sobrecarga de ferro e miR-122 para resgatar o acúmulo de lipídios e a peroxidação em MASLD. Farmacol Res. 2025 Maio: 215:107728.